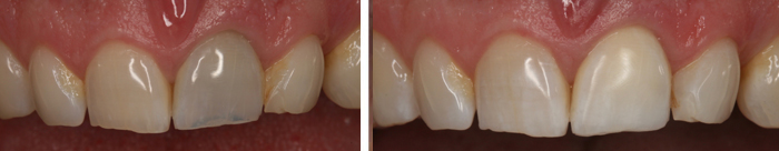
Can you guess which tooth is
the implant?

(Roll over the image to reveal the implant.)

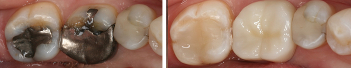
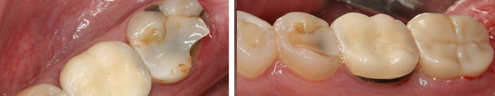
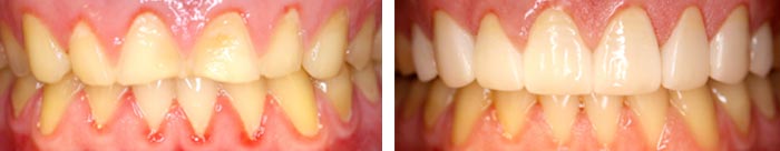
Our Best Smiles